推薦台中牙齒冷光美白權威+台中冷光美白價格價錢+生活牙醫評價心得經驗分享
我整個尷尬+害羞…當下趕快扯說 哪有是最近咖啡喝多了!
回家立馬瘋狂查詢關於台中牙齒美白的資料 只想趕快把牙齒弄白
後來在網路上找啊找 發覺滿多台中人推薦生活牙醫診所
於是就和網路客服預約去做牙齒冷光美白的諮詢了
(順帶一提 他們的網路客服很方便耶 重點是回覆很即時♥)
台中牙齒美白PTT推薦+台中冷光美白價錢費用價格+台中牙醫診所
第一次來這間牙醫診所 站在門口我還以為走錯了 猶豫一下要不要進去哈哈
因為整間牙醫非常高級 我還是第一次看到這麼大間的牙醫診所耶!!
去的時候我是指定最多網友推薦的莊禮駿醫師♥ 本人果真很年輕帥氣
但是說話卻沉穩又有架式 問答一點也不敷衍很認真 難怪很多人愛他
首先莊醫師先幫我分析我的牙齒適不適合做牙齒冷光美白
據說是因為有一些牙齒類型即使做了冷光美白成效也不好
不過由於我是屬於後天染黃的那種 所以可以放心做~^^
其中我有問醫師「請問你們這邊真的都是醫師親自操作的嗎?」
哈哈哈 醫師應該很想打我(笑) 因為看到網路上很多人這樣講真的很想知道
不過莊醫師還是很認真的回答了我說「是,因為這樣才安全」
價錢的話 護士說最近有感恩回饋價1萬2千元♥ 還另加送美國的美白筆!!
覺得自己簡直太lucky 因為據護士說原價價錢要1萬5千元的說
所以等於省下3000元又可以多拿一隻美白筆
然後又問了一個蠢問題「請問做完冷光美白牙齒會酸嗎?」
醫師是說因人而異 不過他們進了美國的新儀器和藥劑
全都是美國原裝進口又有衛署認證的 感覺很有保障
而且他們主要是利用厲害的機器去催化濃度較安全的藥劑
這樣可以降低敏感度但是成果一樣好
因此根據目前患者反應是不太有酸軟的情況出現~
最後幫我看了一下牙齒 確認沒問題後
吩咐一下術前的注意事項 接著就約下次時間要做冷光美白了
回家之後其實我有打電話去其他診所探聽 畢竟1萬2對我來說也不算小錢~
結果價格都差不多是在1萬2到1萬5這個區間
然後我在電話裡問護士 請問你們是醫師親自操作嗎 因為個人比較神經質
但是都是吱吱嗚嗚的說醫師會幫忙”看” 然後由受過訓練的醫務助理操作
我整個歪腰~~~
大概比較了3、間 覺得還是生活那邊比較好 就更下定決心囉!
做冷光美白的日子很快就來了 真的有點緊張耶 其實我很怕看牙齒…
因為我整個腦袋空白 我就直接快轉到療程開始囉!
一開始莊醫師先幫我用張口器(聽醫師是這樣說)把嘴巴撐開
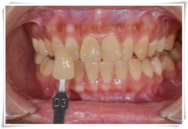
這樣就不用一直張大嘴巴 會比較輕鬆!另外也拍照紀錄了原本牙齒的顏色
自己平時照鏡子沒感覺 拍照起來牙齒真的好黃喔 有點害羞…
接著用一個機器幫我把微笑區域的牙齒打亮拋光(好像洗車噢XDD)
醫師說這個步驟主要是要把牙齒表面的髒東西清除掉~3
然後就是上美白藥劑囉
他們是拿一支像塑膠針筒的東西把藥劑擠在牙齒上
塗好之後就是戴上護目鏡照冷光
照好之後莊醫師幫我把藥劑弄掉 再上新的藥劑 然後又照光~重複了三次!
基本上我覺得塗藥劑和照光都沒有感覺耶 我有問醫師好像是照10分鐘左右
所以照光總共是30分鐘 說真的完全無感耶 我整個快睡著(笑)
但是我有其他做過的朋友紛紛說他們照光的時候牙齒酸到流眼淚
哈哈個人覺得有點扯 是因為每間診所作法還是藥劑不同嗎!?
接著就是壓軸好戲囉 莊醫師很溫柔的幫我把牙齒清理乾淨
然後把做完冷光美白後的牙齒拍照下來
他有秀照片給我看 顏色真的是差滿多的說!我到底是喝了多少咖啡
另外醫師有給我一張卡片 可以看到冷光美白前後竟然差了6個色階
真不想承認我以前牙齒有那麼黃QQ
最後還拿到一個照護包
裡面有冷光美白術後須知、美國Beyond冷光美白筆一隻、美白筆使用須知,還有一條小牙膏,挺貼心耶~
回家之後我自己觀察了幾天 牙齒並沒有酸軟的情況出現
之前有聽過說做完牙齒冷光美白吸到風會痛到想打人 可是我真的覺得不會說
就是刷牙時牙齦有一點點微微刺刺的fu 但是過兩天就沒有了~
然後他們附贈的那隻美白筆個人覺得很不賴 可以進行重點加強
像我比較不滿意虎牙的顏色 希望它可以再白一點
所以這幾天我就針對比較黃的那幾顆牙齒去塗 大概塗了4天吧
本來比較黃的虎牙 顏色真的跟白白的門牙越來越接近!!!
整個很佩服自己哈哈哈 超有實驗精神的吧
而且我覺得牙齒白真的有差耶 除了拍照好看 整個人心情也會很好
像我這禮拜都瘋狂露齒笑 三不五時拿鏡子出來照(笑)
生活牙醫的話個人是很推薦 我給它90分♥♥♥
(扣10分因為開車的話那一帶的車位不是很好找,要花點時間)
尤其莊醫師真的是我遇過數一數二有耐心的醫師 是溫柔派的喔
如果你和我一樣怕看牙 歡迎去找他XD
技術也很好 動作都小小的 重點是真的讓我的牙齒白滿多J
另外生活牙醫這邊環境好 服務也不錯 助理的服務態度都很好
例如我一踏進門他們就會馬上站起來迎接我~
要找到自己合拍的牙醫真的不容易
祝大家也跟我一樣幸運能找到這麼讚的牙醫 擁有美美的牙齒
生活牙醫診所
台中市南屯區公益路二段525號
04-22546060













